principes généraux

Lorsqu'il ne reste plus aucune dents sur une arcade, nous avons le choix entre un appareil amovible complet stabilisé sur des implants ou une prothèse fixe sur implants. La première solution est plus simple, moins onéreuse mais ........ moins confortable.

1 - La prothèse complète fixe sur implant

Dans cette solution, nous fabriquons un bridge d'un seul tenant qui remplace de 10 à 14 dents. Il est supporté par 6 ou 8 implants (4 dans quelques cas). Le choix du nombre d'implants dépend en grande partie des volumes osseux disponibles. Les sinus au maxillaire et le nerf mandibulaire à la mandibule sont souvent des obstacles anatomiques. Il est souvent préférable de placer moins d'implants, d'avoir une denture plus réduite mais d'éviter ainsi des interventions plus lourdes de comblement sinusien ou de greffe osseuse. Nous réalisons principalement des constructions en 3 étages : implants, piliers, prothèse et toujours transvissée. La prothèse définitive est préfigurée au préalable grâce à des essayages esthétiques qui permettent de valider un projet prothétique. Une planification informatique à partir du projet prothétique et de l'imagerie 3D permet de définir le positionnement optimal des implants et un guide chirurgical permet de placer ces implants dans la position ainsi déterminée. Un prothèse provisoire fixe est mise en place dans les 48 heures qui suivent la mise en place des implants, la définitive étant réalisée quelques mois après. Cette prothèse définitive sera soit complètement céramique, soit aura des dents en résine sur une infrastructure en titane. Cette solution (résine sur titane) est la solution qui a le plus de recul car c’est ainsi qu’a été traité le premier patient en Suède (et qui a gardé sa prothèse jusqu’à la fin de sa vie soit 47 ans !!). Son inconvénient est d’être plus fragile (mais plus facilement réparable) et d’être légèrement espacée de la gencive (pour le nettoyage) ce qui peut être moins confortable et moins esthétique si ce n’est pas masqué par la lèvre. Les avantages sont d’une part un grand recul clinique avec des taux de succès élevés et d’autre part un coût moindre par rapport aux prothèses en céramique. Ces dernières sont plus exactement en zircone (pour la solidité) avec de la céramique cosmétique sur les zones visibles (pour l’esthétique). Leurs avantages sont d’une part la solidité et d’autre part des possibilités esthétiques plus larges. Leur inconvénient est surtout un prix plus important. L’analyse esthétique préliminaire est particulièrement importante pour déterminer le type de réalisation.

Ce modèle de démonstration permet de visualiser les implants dans la machoire avec leurs piliers (en haut à gauche). La vue de droite en haut montre une prothèse avec le passage pour les vis. La prothèse est vissée sur les implants (en bas)

Ce modèle de démonstration permet de visualiser les implants dans la machoire avec leurs piliers (en haut à gauche). La vue de droite en haut montre une prothèse avec le passage pour les vis. La prothèse est vissée sur les implants (en bas)


Cas clinique N°1

6 implants ont été placés au maxillaire. Ils sont en avant du sinus pour éviter un comblement sinusien. Les dernières molaires ne seront pas remplacées.

Le bridge est en céramique sur une infrastructure en zircone. De la céramique rose permet de masquer les espaces interdentaires souvent inesthétiques et évite d'avoir des dents trop longues. La vue de droite permet de voir les puits de vissage.

Le bridge est en céramique sur une infrastructure en zircone. De la céramique rose permet de masquer les espaces interdentaires souvent inesthétiques et évite d'avoir des dents trop longues. La vue de droite permet de voir les puits de vissage.

Vue clinique du bridge en place

Vue clinique du bridge en place


complet8.jpg

Cas clinique N°2

7 implants ont été mis en place en vue d'un bridge complet transvissé

Ce bridge remplace les 14 dents manquantes. Il est en céramique sur infrastructure zircone. Il n'a pas été ici nécessaire de rajouter de la céramique rose aux collets

Ce bridge remplace les 14 dents manquantes. Il est en céramique sur infrastructure zircone. Il n'a pas été ici nécessaire de rajouter de la céramique rose aux collets

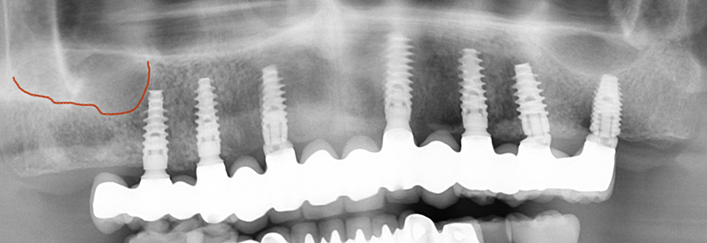
La radiographie panoramique montre les 7 implants en place. A droite (gauche sur photo) le dernier implant est plus en avant qu'à gauche du fait de la présence du sinus (trait rouge). La dernière dent est "en extension".

La radiographie panoramique montre les 7 implants en place. A droite (gauche sur photo) le dernier implant est plus en avant qu'à gauche du fait de la présence du sinus (trait rouge). La dernière dent est "en extension".


a67.jpg

Cas clinique N° 3

6 implants ont été mis en place en vue d’une prothèse transvissée résine sur barre titane

Les dents sont en résine. L’infrastructure est une barre en titane.

Les dents sont en résine. L’infrastructure est une barre en titane.

La prothèse est fixe car transvissée. Il n’y a donc pas de palais. Attention : le talon de résine rose peut parfois être plus important si les puits de vissage sont plus postérieurs. La résine rose sur la face antérieure permet de masquer les espace…

La prothèse est fixe car transvissée. Il n’y a donc pas de palais. Attention : le talon de résine rose peut parfois être plus important si les puits de vissage sont plus postérieurs. La résine rose sur la face antérieure permet de masquer les espaces entre les dents et évite d’avoir des hauteurs de dents trop importantes. L’intrado de la prothèse étant striçctement plat, il y a un léger espace entre cette prothèse et la gencive. Cette solution n’est donc envisageable que si la jonction prothèse gencive est masquée par la lèvre.

La vue clinique lors du sourire confirme que cette jonction n’est pas visible. Il n’y a donc pas de préjudice esthétique.

La vue clinique lors du sourire confirme que cette jonction n’est pas visible. Il n’y a donc pas de préjudice esthétique.

La radiographie montre les implants et la barre en titane. La résine n’est pas visble à la radio.

La radiographie montre les implants et la barre en titane. La résine n’est pas visble à la radio.


2 - LA prothèse complète amovible sur implants

Il s'agit dans ce cas d'une prothèse conventionnelle qui peut (et doit, ne serait-ce que pour la nettoyer) se retirer. Elle est "clipsée" sur des attachements eux même vissés sur les implants. A la mandibule, 2 implants permettent d'améliorer très notablement la stabilité et surtout la rétention de la prothèse. Au maxillaire, les problèmes de mauvaise tenue sont moins fréquents, et l'os, moins dur, rend l'intérêt des 2 implants nettement moins évident. Il est possible de mettre plus d'implants dans ce cas, ce qui permet alors de diminuer l'étendue du palais prothétique.

Cas clinique N°4

Situation initiale dans le cas d'une mandibule édentée

Un appareil résine conventionnel est réalisé (il pourra être renforcé avec une partie métallique si nécessaire). la vue de droite montre les parties femelles des attachements dans l'intérieur de la prothèse. 

Un appareil résine conventionnel est réalisé (il pourra être renforcé avec une partie métallique si nécessaire). la vue de droite montre les parties femelles des attachements dans l'intérieur de la prothèse.

 

La vue de gauche montre la partie mâle des attachements sur lesquelles vont venir se "clipser" les parties femelles. la vue de droite montre la situation clinique finale.

La vue de gauche montre la partie mâle des attachements sur lesquelles vont venir se "clipser" les parties femelles. la vue de droite montre la situation clinique finale.


Bibliographie

DADA K., DAAS M. : Esthétique et implants pour l’édenté complet maxillaire. Editions quintessence International. PARIS 2011

RIGNON-BRET C., RIGNON-BRET J.M.: Prothèse amovible complète. Prothèse immédiate. Prothèses supraradiculaire et implantaire. Editions CdP. PARIS 2002.

MALO P., RANGERT B., NOBRE M. : «All on four» immediate-function concept with Branemark System implants for completely edentulous maxilla : A 1 year retrospective clinical study. Clin Implant Dent Relat Res. 2005; 7(suppl 1) : 88-94

DADA M., DAAS K., POSTAIRE M., VICAUD F., RAUX D., BRUTUS V.: Les traitements implantaires avec Nobelguide®. Quintessence International. PARIS 2008.

 

Page mise à jour le 1 Mai 2017