L'origine des récessions

Il est fréquent de constater que nos gencives se rétractent. Nous parlerons alors de «récessions gingivales». Ce phénomène peut avoir plusieurs origines :

  • une maladie parodontale qui entraîne une perte du support osseux et par voie de conséquence, un affaissement de la gencive qui n’est plus soutenue. Nous sommes donc en présence d’une maladie d’origine infectieuse et le traitement est décrit dans les autres chapitres de ce site
  • une étiologie non inflammatoire. Ce peut être par exemple un problème mécanique comme un brossage trop énergique, des micro fêlures etc... qui entraînent une perte des tissus de soutien, le plus souvent localisée sur les faces antérieures des dents. Ceci sera d’autant plus net que la gencive est fine et fragile. Le traitement sera alors un déplacement de la gencive et/ou renforcement de cette gencive par l’intermédiaire d’une greffe

Il est possible de traiter ou tout au moins améliorer la situation par des interventions de chirurgie plastique parodontale. L’indication essentielle est la stabilisation de la situation. En effet, si la récession s’aggrave, cela peut aller jusqu’à la perte de la dent. L’hypersensibilité est souvent une cause de demande de traitement. Il est cependant impossible de garantir que les hypersensibilités disparaitront après traitement. Il faut au préalable essayer de les traiter par d’autres moyens (vernis...). Enfin, la demande peut être d’ordre esthétique.

Dans ce cas, il est très probable que l’origine des récession soit traumatique avec un brossage horizontale et une brosse à dent dure. L’image de droite montre que même la dent a été «usée» avec une encoche sur la racine

Dans ce cas, il est très probable que l’origine des récession soit traumatique avec un brossage horizontale et une brosse à dent dure. L’image de droite montre que même la dent a été «usée» avec une encoche sur la racine

Le piercing est ici un facteur déclenchant ou aggravant de cette récession évolutive

Le piercing est ici un facteur déclenchant ou aggravant de cette récession évolutive

le lambeau de deplacement coronaire

Dans cette technique, la gencive rétractée va être décollée et replacée de manière à recouvrir la récession. Cette intervention bénigne se fait sous anesthésie locale. Ceci n’est possible que si cette gencive est épaisse et de bonne qualité. Il est en effet très difficile de déplacer une gencive fine comme «du papier cigarette». Le support osseux doit également être favorable. Un examen préopératoire préalable minutieux est donc indispensable. Les suites opératoires sont dans la très grande majorité simples.
ATTENTION :
1/ Il est IMPERATIF d’avoir au préalable mis en place des techniques de brossage adaptées, non traumatiques
2/ Le tabac est facteur de risque d’échec MAJEUR
3/ Il est IMPOSSIBLE de garantir le succès et le recouvrement complet d’une récession.

Les flèches indiquent les récessions qui vont être traitées. Les vues cliniques à droite montrent le résultat obtenu.

Les flèches indiquent les récessions qui vont être traitées. Les vues cliniques à droite montrent le résultat obtenu.

la greffe conjonctive

Il vient d’être dit que le déplacement d’une gencive fine et fragile a une probabilité de succès limitée. Dans ce cas, nous associons une greffe afin d’épaissir cette gencive. Le greffon est prélevé du coté du palais en dedans de la zone des prémolaires. Nous ne prenons pas la gencive superficielle mais la «sous-couche» appelée tissu conjonctif. Pourquoi ? parce que la partie superficielle de la gencive palatine n’a pas exactement la même couleur que la partie externe (ou vestibulaire) ce qui, surtout dans les secteurs antérieurs visibles, risquerait de donner un résultat esthétique médiocre. La zone de prélèvement est suturée et/ou recouverte d’une membrane de collagène et/ou protégée par une plaque en résine. Au niveau de la récession, le même travail que décrit précédemmentest réalisé, mais avant de suturer, la greffe est insérée sous le lambeau. L’intervention est également sous anesthésie locale. Elle est indolore. Les suites sont la plupart du temps simples. Il est possible d’avoir un oedème post opératoire, un saignement parfois. Il faudra bien sûr être très «prudent» pour ne pas gêner la cicatrisation primaire qui intervient dans les 3 semaines qui suivent. L’alimentation est bien sûr adaptée.

ATTENTION :
1/ Il est IMPERATIF d’avoir au préalable mis en place des techniques de brossage adaptées, non traumatiques
2/ Le tabac est facteur de risque d’échec MAJEUR
3/ Il est IMPOSSIBLE de garantir le succès et le recouvrement complet d’une récession.

N.B.: La greffe conjonctive est souvent associée au lambeau de déplacement afin d’essayer de recouvrir, au moins partiellement, la récession. Il est possible de faire une greffe conjonctive seule. Le but dans ce cas est d’épaissir la gencive sans chercher à recouvrir la récession afin d’améliorer la qualité des tissus pour stabiliser la situation.

VARIANTE : LA GREFFE TUNNELLISEE. Dans cette technique, la gencive n’est pas complètement décollée, les papilles restant intactes. Un tunnel est réalisé à la base des récessions et le greffon est inséré dans ce tunnel. Un déplacement de cette gencive peut cependant être associé.

Les récessions au maxillaire ont été traitées par lambeaux de déplacement coronaire. Pour les canines (flèches), une greffe conjonctive a été associée. Sur les photos agrandies, situation avant/après de la canine de droite (flèche rouge)

Les récessions au maxillaire ont été traitées par lambeaux de déplacement coronaire. Pour les canines (flèches), une greffe conjonctive a été associée. Sur les photos agrandies, situation avant/après de la canine de droite (flèche rouge)

la greffe epithelio-conjonctive

Lorsque le recouvrement de la récession n’est pas recherché ou qu’il semble difficile à obtenir, il est possible de seulement chercher à obtenir un renforcement, un épaississement de la gencive afin d’améliorer la qualité des tissus pour stabiliser la situation. Nous avons vu qu’une greffe conjonctive est une solution. Il est également possible de prélever un greffon «épithélio-conjonctif» au niveau du palais (en regard des molaires prémolaires). Dans ce cas, on garde la couche superficielle de la gencive. Cette couche est constitué d’un «épithélium kératinisé» beaucoup plus solide que le conjonctif ce qui améliore ses performances mécaniques. Cependant, comme nous l’avons également vu précédemment, sa teinte n’est pas exactement la même. Il est possible d’obtenir un effet «nacré». Nous réserverons donc cette intervention pour des zones ou l’esthétique n’est pas en jeu (essentiellement mâchoire inférieure, ou lorsque la meilleure solidité possible est recherchée (souvent autour d’un implant). Là encore, l’intervention est sous anesthésie locale avec des suite la plupart du temps simples. Des saignements peuvent être observés. Le port d’une plaque de protection palatine est parfois utile.

ATTENTION :
1/ Il est IMPERATIF d’avoir au préalable mis en place des techniques de brossage adaptées, non traumatiques
2/ Le tabac est facteur de risque d’échec MAJEUR

La récession est importante avec une gencive fine et fragile. Cette zone n’est pas visible. L’objectif a été ici de placer une zone de gencive solide pour stabiliser la situation sans chercher à recouvrir la récession. A noterla qualité du brossage.…

La récession est importante avec une gencive fine et fragile. Cette zone n’est pas visible. L’objectif a été ici de placer une zone de gencive solide pour stabiliser la situation sans chercher à recouvrir la récession. A noterla qualité du brossage. La gencive n’a pas tout à fait le même aspect au niveau de la zone greffée. 

La récession est associée à une gencive très fine et fragile. Le but est de l’améliorer en qualité, ce que montre la photo du milieu. Il a quand même été possible d’obtenir un recouvrement. Celui-ci s’améliore d’ailleurs au fil du temps (photo de dr…

La récession est associée à une gencive très fine et fragile. Le but est de l’améliorer en qualité, ce que montre la photo du milieu. Il a quand même été possible d’obtenir un recouvrement. Celui-ci s’améliore d’ailleurs au fil du temps (photo de droite), ce qui n’est pas toujours le cas. A noter là aussi la qualité du brossage à droite

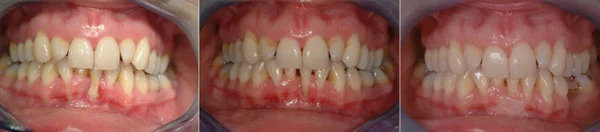
Il n’est pas possible d’envisager de traiter cette récession à gauche tant que le brossage n’est pas correct, ce qui est obtenu au centre. La greffe permet d’améliorer la qualité gingivale et même ici de recouvrir partiellement la récession.

Il n’est pas possible d’envisager de traiter cette récession à gauche tant que le brossage n’est pas correct, ce qui est obtenu au centre. La greffe permet d’améliorer la qualité gingivale et même ici de recouvrir partiellement la récession.


biblio.jpg

Bibliographie

Borghetti A, Monnet-Corti V. : Chirurgie plastique parodontale. Editions CDP ; 2008

Page mise à jour le 28 Avril 2017