Il y a la plupart du temps un délai de 2 à 6 mois entre la pose de l'implant et la réalisation de la prothèse définitive. Il est difficile de rester édenté durant tout ce temps, soit pour des raisons fonctionnelles, soit pour des raisons esthétiques. Nous aurons alors recours à une prothèse provisoire qui sera soit fixe, soit amovible.


solutions provisoires fixes

Il y a la plupart du temps un délai de 2 à 6 mois entre la pose de l'implant et la réalisation de la prothèse définitive. Il est difficile de rester édenté durant tout ce temps, soit pour des raisons fonctionnelles, soit pour des raisons esthétiques. Parmi les solutions provisoires fixes, nous détaillerons ici celle du bridge collé.

Les bridges collés

Cette technique n'est utilisable que pour les édentements de petite étendue (1 ou 2 dents, exceptionnellement 3 ou 4). La ou les dents manquantes sont reconstituées en résine et fixées sur les dents voisines par des ailettes également en résine. Un renfort interne augmente la solidité de l'ensemble. Le bridge est collé soit sur l'arrière des dents s'il y a suffisamment de place, soit sur l'avant des dents. Les dents support ne sont pas meulées.

L'incisive centrale est remplacée par un bridge collé avec 1 ailette à gauche et 2 à droite (pour une meilleure uniformisation esthétique). La surépaisseur qui en résulte est minime et bien tolérée

L'incisive centrale est remplacée par un bridge collé avec 1 ailette à gauche et 2 à droite (pour une meilleure uniformisation esthétique). La surépaisseur qui en résulte est minime et bien tolérée

Le rendu esthétique est tout à fait satisfaisant. La zone interne est volontairement dégagée pour éviter toute accumulation d'aliments et permettre un meilleur nettoyage.

Le rendu esthétique est tout à fait satisfaisant. La zone interne est volontairement dégagée pour éviter toute accumulation d'aliments et permettre un meilleur nettoyage.

La tenue de ces bridges est globalement bonne, même s'il faut noter quelques décollements ou fractures. La plupart du temps, il faut détruire ces bridges en les meulant pour les déposer. Cela n'abime pas les dents. Le problèmes est que quand il faut intervenir plusieurs fois sur le site, il faut prévoir plusieurs bridges collés.


solutions provisoires amovibles

Elles seront utilisées lorsque l'édentement est de plus grande étendue ou lorsqu'il n'est pas possible de coller sur les dents collatérales (présence de couronnes par exemple) ou lorsque nous voulons éviter de faire plusieurs jeux debridges collés en cas d'interventions répétées. Ce sont des appareils en résine (nous éviterons la dénomination "dentier"!!) qui reposent sur les muqueuses. ATTENTION : il faut IMPÉRATIVEMENT éviter tous contacts entre l'appareil et la zone implantaire. C'est souvent plus difficile à la mâchoire inférieure et c'est aussi pourquoi nous privilégions les palais étendus à la mâchoire supérieure. Cela a comme conséquence un encombrement plus important, donc un confort moindre. Il est fréquent de ne pas pouvoir mettre de crochets. La tenue de la prothèse sera assurée par de l'adhésif dentaire. Cette tenue est donc beaucoup plus aléatoire.

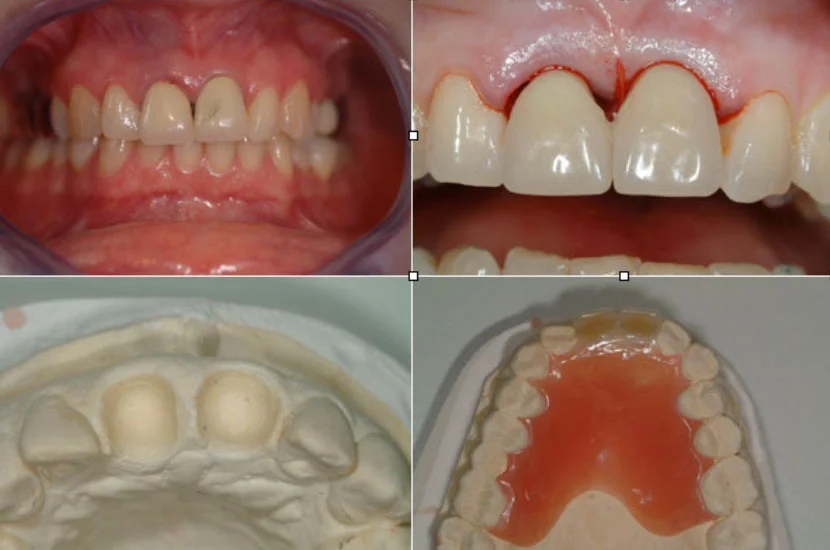
Les 2 incisives centrales doivent être extraites (haut à gauche). Elles sont meulées sur un modèle en plâtre réalisé au préalable (bas à gauche), ce qui permet de réaliser la prothèse (bas à droite) avant la séance d'extractions et de mettre l'appar…

Les 2 incisives centrales doivent être extraites (haut à gauche). Elles sont meulées sur un modèle en plâtre réalisé au préalable (bas à gauche), ce qui permet de réaliser la prothèse (bas à droite) avant la séance d'extractions et de mettre l'appareil immédiatement après les extractions (haut à droite)


Page mise à jour le 28 Avril 2017